Results for "Risk Factors"

What Increases The Risk Of Chondrosarcoma?

Chondrosarcoma is a cancer of the bones that develops when a mutation in the cartilage producing cells causes them to reproduce rapidly and not die off when they should. Cartilage is the flexible, tough substance that provides cushioning to the bones and joints. Chondrosarcoma most commonly occurs in the shoulder, pelvis, and hip. Unlike other forms of cancer, chondrosarcomas do not make an individual feel systemically ill. Symptoms of this form of cancer usually only occur in the area where the tumor is present, and include a large growth or lump on the bone, difficulty urinating if the tumor is in the pelvis, swelling, stiffness, tenderness, and a feeling of pressure in the area where the tumor is located. Although it is slow-growing cancer in most cases, it is important to understand who is at a higher risk of developing chondrosarcoma.

Ollier Disease

Photo Credit: Reddit

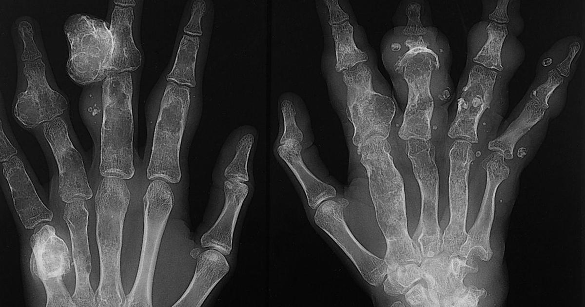
Ollier disease is a condition where multiple benign or noncancerous cartilage tumors called enchondromas develop throughout the skeletal system of the body. A spontaneous mutation in the genes causes Ollier disease to develop. This gene mutation is not one that spreads through families or is inherited. Instead, it happens randomly to an individual in utero or before they are born. The enchondromas that develop in Ollier disease patients are a result of the cartilage cells expanding in an abnormal location. This irregular growth can happen in the form of a projection from a bone, or it can occur inside of a bone. Additional DNA mutations may occur in individuals who already have the gene mutation that causes Ollier disease that accounts for the mechanism that causes enchondromas to become cancerous. When enchondromas become cancerous, they are considered chondrosarcomas. It is not uncommon for one or more of the benign tumors in individuals with Ollier disease to become malignant or cancerous over some time, so Ollier disease patients are at an increased risk for developing chondrosarcoma.

Uncover more details on the risk factors linked to chondrosarcoma now.

Maffucci Syndrome

Photo Credit: OrthoBullets

Maffucci syndrome is a disorder where multiple benign or noncancerous cartilage growths develop inside of the bones, and purplish or red growths develop in the skin. Much like Ollier disease, Maffucci syndrome is caused by a gene mutation, and individuals affected by it are at a higher risk of developing chondrosarcoma. Maffucci syndrome enchondromas develop near the part of the bones where growth typically occurs. Benign tumors usually stop becoming larger when the individual with Maffucci syndrome stops growing. While it sounds similar to Ollier disease, Maffucci syndrome has two distinct elements that do not occur in Ollier disease patients. Hemangiomas are skin growths containing tangles of irregular blood vessels that also happen in individuals affected by Maffucci syndrome. In addition, masses that contain tangles of the thin tubes where lymph fluid travels or lymphangiomas develop in Mafucci syndrome patients. Both hemangiomas and lymphangiomas can grow anywhere on the body. Additional mutations that occur alongside the Maffucci syndrome mutation are responsible for some of the enchondromas becoming malignant, resulting in chondrosarcoma.

Continue reading to reveal more factors that increase the risk of developing chondrosarcoma now.

Age

Photo Credit: CranberryHomeCare

Individuals over the age of forty tend to develop chondrosarcoma more often than those who are younger. The best explanation for the prevalence in older aged adults has to do with mesenchymal stem and progenitor cells or MSPC. The cells that turn into chondrosarcomas are not clearly defined, but they most likely develop from the MSPC within the inside bone cavity. As an individual ages and the bones stop replacing their tissues as efficiently as they used to, the bones begin to undergo changes. The changes that occur can best be described as cell arrangement reorganization within the bones. Bone changes of this sort happen most prevalently among individuals in the beginning stages of osteoarthritis. The cell arrangement reorganization can change the bone and cartilage microenvironment, allowing for specific biomarkers to cause mutations in the DNA of MSPC. These mutations result in the genesis of chondrosarcoma. It is due to the normal bone changes that occur at older ages and the high prevalence of osteoarthritis that causes an individual over forty years old to be at a higher risk for developing chondrosarcoma.

Get more information about what increases the risk of chondrosarcoma now.

Paget's Disease

Photo Credit: DiseaseOrSyndrome

Paget's disease is a disorder of the bones that causes problems with the body's normal bone remodeling process. In healthy individuals, the body absorbs old bone, and it forms new healthy bone in place of it. Individuals affected by Paget's disease have a malfunction in their bone remodeling process. The body of these individuals tends to generate too much new bone tissue in the wrong locations, or it may remove old bone from the areas where new bone should go. Paget's disease tends to be caused by mutations of the genes passed through families. Because Paget's disease causes an individual to regenerate more bone then they typically would, the DNA of these bone cells undergo more changes on average than in a healthy individual. More DNA changes in bone cells increase the risk of mutations occurring in the part of the cell's DNA that controls cellular growth, replication, and cellular death. When certain mutations are made in these sections of the cell's DNA, chondrosarcoma will begin to develop.

Learn more about the risk factors associated with chondrosarcoma now.

Wilms' Tumor

Photo Credit: FindATopDoc

Wilms' tumor or nephroblastoma is a type of cancer where a tumor starts growing in one or both kidneys. It most often affects young children. The cause of Wilms' tumor is unclear, but in rare cases, genetics and the presence of other conditions are known to play a role. Most children with this condition are diagnosed between three and four years old. A child's Wilms' tumor can spread to other regions of the body when it goes untreated, and affected children are at a higher risk of developing chondrosarcoma. The cancerous cells in the kidney of Wilms' tumor patients have the opportunity to come in contact with certain cells of the bones. The bones have a naturally enticing microenvironment for malignant cells due to the normal bone remodeling process. During bone remodeling, the body breaks down old unhealthy bone and then creates new healthy bone tissue in its place. Part of this process includes the release of certain hormones when old bone is broken down. These hormones initiate the process of new cell growth. The interaction between such hormones in the bone remodeling process and the malignant cells floating around from a child's Wilms' tumor can initiate the process of cancerous cell growth in the cells that produce cartilage or chondrosarcoma.

Read More