How To Diagnose And Treat Aspiration Pneumonia
Aspiration pneumonia is a serious lung infection. It occurs due to an individual aspirating or inhaling liquid, food, or vomit down into the airways and lungs. Liquid or food already in an individual's stomach that regurgitates up their esophagus can aspirate into their lungs. Aspiration pneumonia develops when an individual cannot cough up the substance aspirated into the lungs, and bacteria begin to colonize. Symptoms include wet or dry cough, pink or frothy sputum, fever, difficulty swallowing, rapid heartbeat, voice changes, appetite loss, blue fingertips, alterations in alertness, breathlessness, chest pain, and weight loss.
Patients need to receive prompt aspiration pneumonia treatment. Thankfully, there are several options available to them for this purpose. Patients may need some antibiotics to treat the infection. Corticosteroids for aspiration pneumonia are also common. Many patients can also benefit from breathing machine assistance. Of course, patients should undergo the diagnostic process and review all their options to ensure they receive the best treatment for aspiration pneumonia.
Sputum Culture

One of the tests that doctors will use if they suspect that patients have a lung issue, including aspiration pneumonia, is a sputum culture. They usually order this test when patients display symptoms like a cough, chest pain, fever, breathing problems, and fatigue. A sputum culture is relatively simple, as patients need to cough deeply to loosen and bring up sputum from their lungs. Drinking a significant amount of water can help.
A doctor can tap on the patient's chest to help loosen the sputum so that when they cough, it comes up. They may also ask patients to inhale a steam-like mist to loosen the sputum. Once they have the sample, it is sent to the lab for testing, which is where a condition like aspiration pneumonia could be revealed.
Reveal more ways in which this condition is diagnosed now.
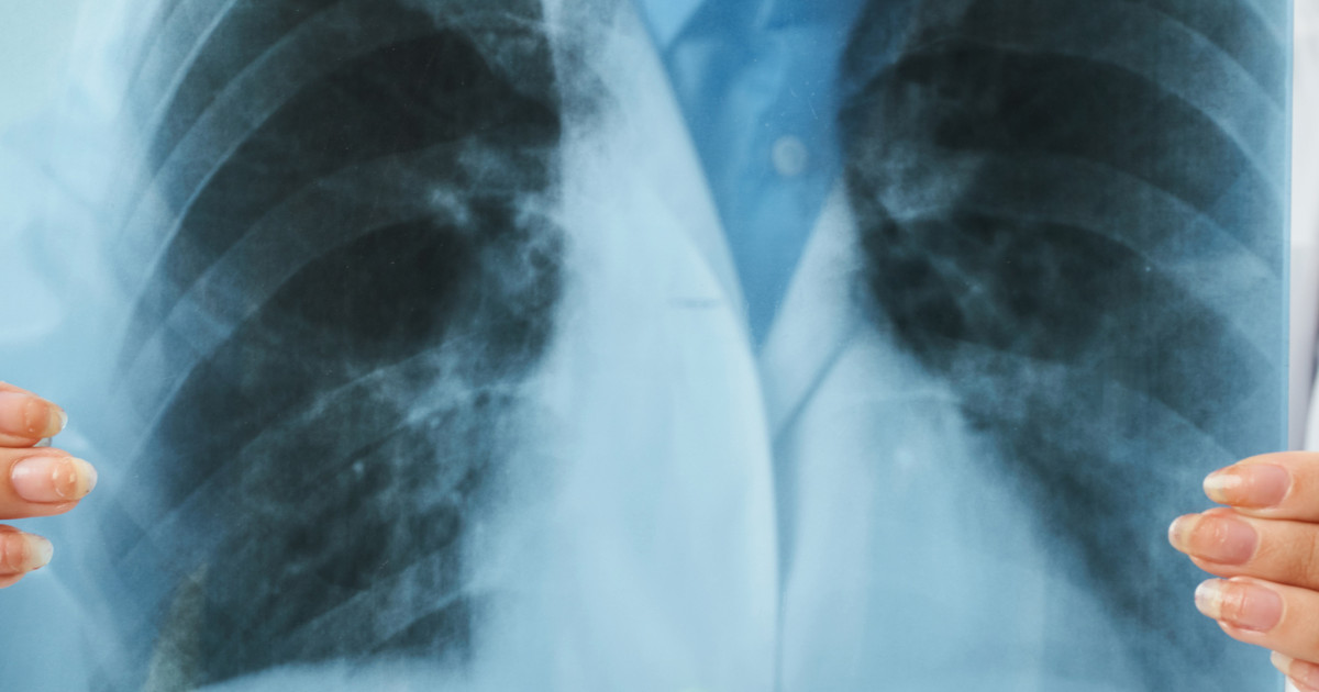
Chest X-Ray

A chest x-ray is a powerful diagnostic tool, including when doctors suspect that their patient has aspiration pneumonia. Doctors will order one for symptoms such as chest pain, coughing, and shortness of breath. A chest x-ray will provide doctors with a detailed view of the patient's lungs. It can reveal fluid that is in or around the lungs, along with air abnormalities. Thus, it can show a build-up of sputum and other lung issues that are often present with aspiration pneumonia. Chest x-rays are quick and effective tests. Patients will receive results within twenty-four hours, often in only a few hours, which is vital in diagnosing aspiration pneumonia.
Learn about how to treat this condition now.
Course Of Antibiotics

Antibiotics are a class of medications that effectively destroy particular types of bacteria that cause infections. Common types of bacteria known to cause aspiration pneumonia are Staphylococcus aureus, Streptococcus pneumoniae, and Hemophilus influenzae. Antibiotics commonly used to treat this condition include azithromycin, moxifloxacin, and ceftriaxone. Other antibiotics also used include a combination of vancomycin and either piperacillin or imipenem.
The best method of choosing the correct antibiotic is by culturing the patient's tracheal aspirates, lung aspirates, or sputum. These methods help doctors identify the bacterial organism causing pneumonia. They can then choose the antibiotic to which that bacteria poses the least resistance.
Keep reading to learn about more ways to treat this condition now.
Breathing Machine Assistance

Breathing machine assistance may be needed to treat severe aspiration pneumonia. The affected individual's trachea and oropharynges may need to be suctioned to remove particles of food or other substances. Breathing machine assistance is considered when a patient is experiencing respiratory failure, mental changes, poor oxygenation, or difficulty breathing. The lung tissues may sustain damage from the bacteria that caused the infection or the inflammatory response.
When an individual's lung tissues become too damaged, patients may need help breathing. The breathing machine tube is placed in the patient's windpipe to bring air into and out of the lungs. Breathing machine assistance takes place in the intensive care unit. This part of the treatment is temporary until the lungs are healthy enough to function alone.
Discover additional treatments now.
Supplemental Oxygen

Patients may need to receive supplemental oxygen as part of their treatment regimen. If pulse oximetry and cardiac monitoring do not indicate the necessity for full intubation with a breathing machine, the patient will receive supplemental oxygen through a nasal tube or mask. Patients who are strong enough to come off full intubation will receive supplemental oxygen following removal of the ventilator.
The lung tissues are made up of cells, which can become damaged by the aspiration pneumonia-causing bacteria or the inflammation that occurs from the immune system response. When the air sacs in the lungs become damaged, it may be difficult for an individual to breathe in enough air to provide their blood with a high enough oxygen concentration to meet their body's demand. The air an individual breathes in from around them has a twenty-one percent oxygen content at sea level. For healthy individuals, this percentage is enough to meet the demands of their body tissues. However, aspiration pneumonia patients may need air with a higher concentration of oxygen when their lungs are healing.
Uncover more options for treating this condition now.
Corticosteroids

Aspiration pneumonia is an infection that develops in the tissues that make up the lungs. The immune system in an affected individual responds to the pathogen and causes lung swelling and inflammation. This swelling and inflammation can result in multiple complications, such as tissue damage that can lead to lung scarring. Corticosteroids help reduce the swelling and inflammation in the patient's lungs after the bacteria have been identified and antibiotics have been administered. A decrease in inflammation and swelling can make it easier for a patient to breathe without the need for intubation or supplemental oxygen. Corticosteroid use in the treatment of this condition reduces the incidence of acute respiratory distress syndrome. This medication is not used in patients with secondary infections or septic shock.
Learn more about treating this condition now.
Surgery

Individuals affected by chronic and repeated aspiration pneumonia infections may need surgery to treat the underlying cause. Those who have trouble swallowing are the most susceptible to repeated aspiration of food and the pneumonia infections that result. Surgical procedures to treat underlying causes of frequent aspiration include a laryngeal suspension, laryngectomy, and tracheostomy. Other options are total cricoid resection, partial cricoid resection, vocal fold medialization, glottic closure, and tracheoesophageal diversion.
Patients may also require surgeries such as a gastrostomy, jejunostomy, fundoplication, gland excision, or parotid duct ligation. These surgical procedures are only necessary when chronic aspiration pneumonia infections cannot be managed with other methods. In cases where too much debris is in the patient's lungs, surgery may be required to remove it if suction techniques are unsuccessful.
Continue reading to reveal more treatments for this condition now.
Physiotherapy

Many patients will receive some physiotherapy during their recovery from aspiration pneumonia. Physiotherapy for this condition is intended to help patients improve their breathing and clear any mucous that may still be in their lungs. Patients will often have special breathing exercises as part of their treatment to build up their lung strength again. After all, many patients with aspiration pneumonia require breathing assistance during the peak of their illness. Other aspects of physiotherapy for aspiration pneumonia include manual chest therapies, cough assist devices, and general exercise and mobility activities.
Get more information about how to treat this condition now.
Feeding Tube

Some patients dealing with aspiration pneumonia will receive a feeding tube. However, this is often a treatment reserved for chronic cases. In addition, the surgical insertion of a feeding tube also depends on the underlying cause of a patient's aspiration pneumonia. Some causes that may benefit from a feeding tube include those with throat cancer, esophageal disorders, and dental issues. A feeding tube is often an effective treatment for patients who have swallowing issues that do not improve with other treatments. This way, they can still receive adequate nutrition, which can help their body heal.
Keep reading to learn more about the treatment options available for this condition now.
Bronchodilators

Some patients dealing with aspiration pneumonia will need to take bronchodilators. This type of medication helps individuals breathe better. They do it by widening the patient's airways and relaxing their lung muscles. Individuals with this form of pneumonia often need this medication to help get the phlegm off of their chest. Patients may receive either short-acting or long-acting bronchodilators to treat their condition. Of course, it is worth understanding that patients can typically only have long-acting bronchodilators if they take them with corticosteroids. Although patients may receive them separately, an increasing number of combination inhalers offer both medications.