What Are The Symptoms Of Hay-Wells Syndrome?
Hay-Wells syndrome is an uncommon disorder characterized by a range of symptoms that may affect the hair, teeth, skin, nails, hands, feet, and certain glands. Mutations of the TP63 gene are responsible for causing Hay-Wells syndrome. Most individuals who develop Hay-Wells syndrome have no previous family history of the disorder and develop it sporadically. When this syndrome is inherited from family members, it is done so in an autosomal dominant fashion. The abnormalities that occur as a result of this disorder form during an individual's embryonic stage development. Hay-Wells syndrome is treated based on the specific symptoms a patient is experiencing. Treatment also focuses on the prevention of further complications. Patients who go untreated can develop tooth decay, secondary infections, alopecia, malnutrition, loss of hearing, emotional stress, and many other serious medical problems. Although Hay-Wells syndrome has a wide range of symptoms, there are several most cases will exhibit.
Missing Skin Patches

Missing skin patches or skin erosion is characterized by the loss of all or some of the epidermis, leaving a bare surface. Skin erosion may also be described as shallow wounds of the epidermis. Skin erosions are usually mildly inflamed, reddish, and painful to the touch. Missing patches of skin is an extremely common symptom that manifests in Hay-Wells syndrome patients. These erosions most commonly occur on the scalp, hands, neck, and feet. This disorder causes skin erosion to occur throughout a patient's childhood and adulthood frequently. These types of erosions on the epidermis of affected individuals can be mild or severe in nature. Severe skin erosions can cause the patient to contract an infection, develop scar tissue on the skin, or lose hair in the affected area. Individuals who have Hay-Wells syndrome patients also have dysfunctional wound healing mechanisms that make it more difficult for their body to heal skin damage than it is for an unaffected individual.
Get more details on symptoms linked to Hay-Wells syndrome now.
Misshapen Finger And Toenails

Nail dystrophies or misshapen finger and toenails are a common symptom that occurs in individuals who have Hay-Wells syndrome. The mutations that cause Hay-Wells syndrome to develop can also cause disruptions in the numerous keratinous layers of the fingernail and toenail plates. Most often, these plates develop only partially or into irregular shapes. In addition, soft yellow keratinous material often builds up between the misshapen fingernail or toenail plate and the bed of the nail. This build-up of material causes the plates to become abnormally elevated in some individuals affected by Hay-Wells syndrome. The nails in affected individuals may also be smaller than average and or thicker than normal. The nails of these patients may also exhibit excessive ridging and or a hyperconvex shape. In addition, individuals affected by Hay-Wells syndrome may also have very brittle finger and toenails with the absence of normal growth. In some cases, the irregular shape of the nails can cause the patient to develop frequent cuticle infections.
Learn more about the warning signs of Hay-Wells syndrome now.
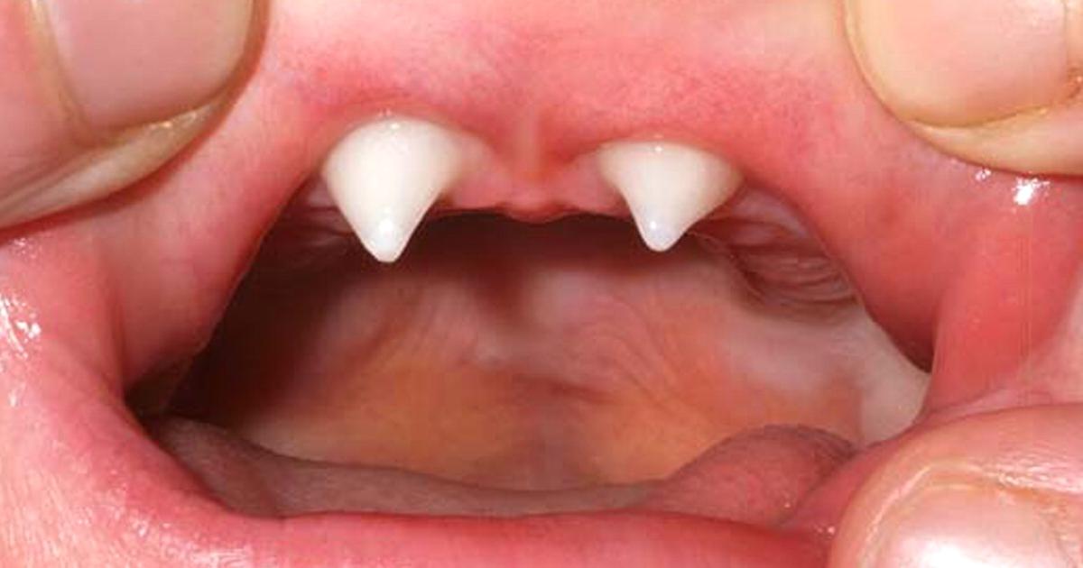
Missing Or Malformed Teeth

Many individuals affected by Hay-Wells syndrome have missing or malformed teeth. A patient's permanent teeth may not have developed at all, and in some cases, one or more primary teeth are missing. When one or more of the teeth are missing, the condition is called selective tooth agenesis. One kind of malformation that occurs in the teeth of affected individuals includes abnormalities of the tooth enamel. These type of enamel defects in patients who have Hay-Wells syndrome can cause the individual to experience tooth sensitivity, excessive tooth erosion, rapid tooth wear, frequent tooth damage, and discoloration. Another common malformation of the teeth that occurs in individuals affected by Hay-Wells syndrome is called conoid or conical tooth. This anomaly describes a smaller-than-average tooth with a tip that appears sharpened instead of the characteristic flat tip. Other defects in the shaping of the teeth that occur due to Hay-Wells syndrome can cause the patient to have trouble chewing food adequately, speaking normally, and maintaining proper oral hygiene.
Discover additional Hay-Wells syndrome symptoms now.
Hearing Loss

Hearing loss is a symptom seen in Hay-Wells syndrome patients for several different reasons. The type of hearing loss that manifests in this disorder is called conductive hearing loss. Conductive hearing loss occurs when there is an issue with the conduction of sound waves at any point along the path that runs through the middle ear, tympanic membrane, and outer ear. Some individuals with this disorder experience a complete development failure of the external auditory canal. Essentially, the patient never develops an ear canal, and because there is no external ear canal, they will not be able hear sounds through that ear. Another reason why some individuals affected by Hay-Wells syndrome experience hearing loss is because of prominent or protruding ears. Protruding ears can cause deformities in the ear canal between the outer and inner ear that can cause an obstruction in the conduction of sound waves. Another cause of hearing loss in Hay-Wells syndrome patients is recurrent episodes of otitis media. The buildup of fluid and debris in combination with the middle ear swelling causes conductive hearing loss.
Continue reading to reveal more signs of Hay-Wells syndrome now.
Sensitivity To Heat

Hay-Wells syndrome patients often exhibit the symptom of abnormally developed or absent sweat glands in the skin. These abnormalities result in hypohidrosis or a condition where a patient tends to sweat less than normal. A healthy individual's body uses the process of sweating to cool down its internal temperature. The mechanism works by secreting fluid and salt through the sweat glands to the surface of the outer skin layer. When the fluid and salt are excreted, they take body heat with them. The fluid on the skin is then evaporated into the air, taking the excess body heat with it. Individuals with Hay-Wells syndrome with affected the sweat glands cannot implement this natural cooling process of sweating properly. This inability makes these patients more sensitive to heat than healthy individuals because their body has no way to rid itself of excess heat. It is not uncommon for those affected by Hay-Wells syndrome to experience frequent episodes of heat exhaustion and heat stroke.