Options For Treating Long QT Syndrome
Long QT syndrome is a heart condition that disrupts the heart's normal flow of electrical activity. The flow of ions in and out of the heart cells via small ion channels is the mechanism that produces the heart's electrical activity. The electrocardiogram section that shows the duration of when the electrical system fires an impulse throughout the ventricles to when it fully recharges is referred to as the QT interval. In long QT syndrome, the ion channels are defective, and they cause a delay in the time it takes for the system to recharge after contracting. A longer QT interval results in an increased risk for a serious type of ventricular tachycardia and sudden cardiac death. This condition can be present at birth or acquired. Symptom control and prevention of sudden death are the primary focuses of treatment for long QT syndrome.
Taking Recommended Medication

Numerous medications may be prescribed to a patient with long QT syndrome as a preventative measure and to treat any symptoms of the condition. The most common medications used to treat long QT syndrome are beta blockers, which work to lower the heart rate and reduce the occurrence of the abnormal rhythm associated with long QT syndrome. Chemically, beta blockers work to dull the way the heart responds to a hormone secreted by the adrenal glands called adrenaline. Potassium management medications may be used to treat long QT syndrome as they can improve the recharging system of the heart. This improvement can be accomplished with potassium supplements or medicine that assists the body with the retention of potassium called spironolactone. Inherited cases of long QT syndrome, such as LQTS1, LQTS2, and LQTS3, may be treated with the use of a medication called mexiletine. Mexiletine is an anti-arrhythmic medication that works to shorten the QT interval and lower the risk of fainting, seizures, and sudden death associated with long QT syndrome. Any of these medications may be prescribed even if the patient is not experiencing physical symptoms. Taking recommended medication will help reduce an individual's risk of experiencing life-threatening complications of long QT syndrome.
Keep reading to learn more about how to treat long QT syndrome now.
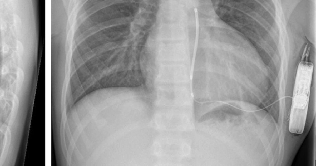
Implantable Cardioverter-Defibrillator

An implantable cardioverter-defibrillator (ICD) is a device implanted under the skin to monitor an individual's heart rate continuously. The device is connected to the heart with thin wires that detect dangerous changes in the heart rhythm. Upon detection of a heartbeat that is too rapid or too irregular, the ICD will deliver an electric shock to reset the heart's electrical system. The electric shock allows the heart to revert to a normal heartbeat. Because patients with long QT syndrome are at a much higher risk of experiencing life-threatening ventricular arrhythmias, implantable cardioverter-defibrillators are often utilized to prevent these dangerous cardiac events. The devices, which are relative in size to pocket watches, are powered by a battery and implanted in a pocket under the skin of the abdomen or the chest. Leads or small wires attached to the ICD are placed in different positions on the interior surface of the heart. The leads are the component of the device that allow it to monitor the activity of the heart, and they are the component that will deliver an electric shock to the heart tissues when it is necessary. This type of device is usually reserved for cases of long QT syndrome that cannot be effectively managed with medication and lifestyle changes.
Learn more about treating long QT syndrome effectively now.
Left Cardiac Sympathetic Denervation Surgery

Left cardiac sympathetic denervation surgery is a procedure in which certain sympathetic nerves in the chest are removed. The removal of these nerves allows the body to regulate the rhythm of the heart better. Left cardiac sympathetic denervation surgery helps with the management of long QT syndrome because the dangerous arrhythmias associated with the condition are caused by the sympathetic nerve stimulation of the heart. Left cardiac sympathetic denervation surgery is a treatment reserved for cases of long QT syndrome that cannot be successfully treated with the use of medications. Some patients may not respond appropriately to beta blockers or may have other medical issues that make taking beta blockers dangerous.
Left cardiac sympathetic denervation surgery is also not used in patients who can manage long QT syndrome successfully with an implantable cardioverter-defibrillator. However, in some patients, this condition may be severe enough to cause the device to deliver excessive appropriate shocks that can become uncomfortable. Many patients who undergo left cardiac sympathetic denervation surgery already have an ICD to treat their long QT syndrome. The changes made to the sympathetic nervous system after the procedure and the device will work in tandem to manage the condition. Left cardiac sympathetic denervation surgery will reduce the frequency of dangerous arrhythmias, and the ICD is active and will be ready when one does occur.
Uncover details on more ways to treat long QT syndrome now.
Reduce Exposure To Loud Noises

A critical part of treating long QT syndrome includes the prevention of sudden cardiac arrest. Cases of this condition that are a result of genetic mutations are classified into different types based on which gene the mutation has occurred. Long QT syndrome type 2 (LQTS2) affects the HERG or KCNH2 gene on chromosome number seven. This mutation disrupts the normal operation of the potassium channels that control the heart's rhythm. Patients affected by LQTS2 often experience ventricular arrhythmias in response to sudden or loud auditory stimuli. Noise from alarm clocks, crying babies, telephones, and many other things can cause an individual with LQTS2 to experience a dangerous cardiac event. Patients with LQTS2 are recommended to avoid situations or circumstances where they will be exposed to loud and startling noises of any kind. If the source of the noise cannot be removed from the affected individual's environment, then they should be removed from the noisy environment. It is critical to reduce exposure to loud noises in all types of LQTS, but those with type 2 have a higher risk of experiencing a life-threatening cardiac event triggered by noise.
Get more information on treating long QT syndrome effectively now.
Avoid Strenuous Exercises And Sports

All long QT syndrome patients, regardless of the type, should avoid strenuous exercises and sports. Collectively, in all kinds of long QT syndrome, sudden cardiac events occur most often while the patient is exerting themselves physically. These cardiac events can range in severity from several minutes of dizziness to sudden death from cardiac arrest. While all types of long QT syndrome can be affected by exercise, LQTS1 is most affected, and LQTS3 is least affected by physical activity. Studies have suggested individuals with LQTS1 tend to experience cardiac events while swimming in particular. Some athletic activities including bowling, curling, riflery, billiards, and cricket may be safe for long QT syndrome patients to engage in (with physician approval). These types of activities are low in static and low in dynamic stress. Because long QT syndrome differs from individual to individual, a physician should give each patient recommendations about what types of activities to avoid. Emergency defibrillators should be present at any facility or location where a long QT syndrome patient is participating in physical activities.