Differential Diagnoses For Berylliosis
Berylliosis is a type of poisoning caused by the implantation of a toxic substance called beryllium into an individual's skin, or by the inhalation of beryllium vapors or dust. Berylliosis is a disease that is most often the result of occupational exposure to the metallic element of which is utilized in high-technology ceramic, electronic, dental alloy preparation, and metal extraction industries. Symptoms that occur in individuals affected by both acute and chronic berylliosis include breathing difficulties, sore throat, coughing, rhinitis, runny nose, chest pain, fever, night sweats, fatigue, weight loss, lymph node enlargement, and tracheobronchitis. Most symptoms that manifest in berylliosis patients branch from the effects of severe lung damage resulting from the widespread inflammation caused by exposure to the toxin beryllium. There are numerous other diseases and disorders with similar manifestations to berylliosis that should be considered prior to diagnosis.
Asthma

Asthma is a chronic lung condition that causes an affected individual's airways to swell, become narrowed, and produce excess mucus. While symptoms vary from case to case, they may resemble those that occur in individuals who have berylliosis. Usually, an allergen is responsible for this abnormal mechanism that occurs in those with asthma. Asthma can be situational with flare-ups only occurring under certain conditions such as in certain climates, at the workplace, or around pet dander. Without proper medical intervention with medication, an asthma attack can become serious and life-threatening to the affected individual. There is no cure for asthma, but the condition can be controlled and managed by careful monitoring and taking certain precautions. Some of the symptoms of berylliosis are also characteristic of those in individuals who have asthma. These manifestations include situational breathlessness, coughing attacks, difficulty with breathing, chest pain, and tightness in the chest.
Uncover another differential diagnosis for berylliosis now.
Sarcoidosis

Sarcoidosis is an inflammatory disorder that produces various symptoms that also occur in berylliosis patients. It is a disorder that happens when small nodules abnormally develop in specific organs throughout the affected individual's body. The cause of sarcoidosis is not clear, but it is known to be associated with the patient's immune system responding abnormally to an unknown substance. Numerous chemicals, infectious agents, dust, and an inappropriate reaction to specific proteins in the body are thought to be possible triggers for this reaction by the immune system. The most common organ in the body to be affected by sarcoidosis is the individual's lungs. The nodules made up of granular white blood cells from the immune system form in the individual's lungs, and they interfere with the normal function and structure of the lung and its parts. The symptoms of sarcoidosis are tightly associated with the organ and organ systems of which the nodules develop. General symptoms that mimic those of berylliosis include fatigue, weight loss, dry cough, breathlessness, enlarged lymph nodes, and chest pain.
Get to know more differential diagnoses for berylliosis now.
Hypersensitivity Pneumonitis

Hypersensitivity pneumonitis is a form of lung inflammation that affects the alveoli (tiny air sacs) and the bronchioles (small airways) of an individual's lungs. This inflammation can manifest in several ways in which are similar to the manifestations of berylliosis. Chemicals or components in organic dust can trigger the hypersensitivity reaction that results in the characteristic inflammation of hypersensitivity pneumonitis. The substance the affected individual's immune system reacts to is called an antigen. The antigen settles into the alveoli of the exposed individual's lungs, where white blood cells engulf it and cause structural and functional damage to surrounding tissues. The immune system also produces antigen-specific antibodies in the affected individual's bloodstream. Symptoms of hypersensitivity pneumonitis usually occur somewhere between four and eight hours after exposure to the particular sensitized antigen. An individual affected by this type of inflammation can experience symptoms that also commonly occur in berylliosis patients, which include fever, breathlessness, persistent cough, and fatigue.
Continue to reveal more conditions with similar symptoms as berylliosis now.
Idiopathic Pulmonary Fibrosis

The symptoms that occur in berylliosis patients can also be indicative of an interstitial lung disease called idiopathic pulmonary fibrosis. The cause of this disease is not clear, but individuals who are regularly exposed to fumes and dust seem to be more susceptible to developing it. Genetic factors may also play a role in an individual's risk of developing idiopathic pulmonary fibrosis. This disease causes mild scarring to form at the edges of a patient's lungs that eventually worsens and moves into the center region of the lungs. Severe scarring occurs when healthy lung tissues are replaced by fibrous and dense scar tissue the body uses to heal itself from chronic damage. As the scarring in the lungs progresses, the affected individual experiences functional lung problems that stop adequate amounts of oxygen from being delivered to tissues around their body. Symptoms of idiopathic pulmonary fibrosis are similar to those of berylliosis. Indicative symptoms of both diseases include breathlessness, weight loss, dry cough, and excessive fatigue.
Read more about conditions with similar symptoms to berylliosis now.
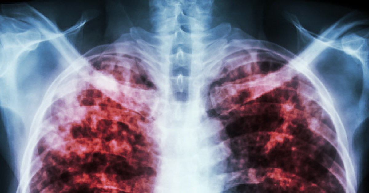
Tuberculosis

Tuberculosis is an infectious disease that primarily affects the lungs. The signs of tuberculosis mimic those of berylliosis, but unlike berylliosis, tuberculosis is caused by a type of bacteria transmitted through small particles in the air from an infected individual's cough or sneeze. Tuberculosis is more likely to develop in individuals who have poorly functioning or compromised immune systems. If a patient's tuberculosis is caught in time, it can be treated with medication before it is able to mutate and become resistant to the drug. Vaccines are available to prevent the spread of tuberculosis in regions of the world where it is relatively common. Tuberculosis left untreated can spread from the infected individual's lungs to the membranes that cover their brain and heart. Tuberculosis can stay latent for years in a patient until their immune system becomes weakened, and the bacteria are allowed to multiply and grow. Active tuberculosis is infectious and produces symptoms berylliosis may also produce, including chronic cough, chest pain, fatigue, night sweats, appetite loss, weight loss, and fever.