What Causes Thunderclap Headaches?
A thunderclap headache, as the name implies, is a headache that comes on suddenly and severely like a thunderclap. The pain reaches a peak in sixty seconds or less. It's uncommon for individuals to experience thunderclap headaches, but they should never be treated lightly. There are many potential causes of thunderclap headaches, many of which are life-threatening. The most common are related to bleeding around or inside the brain. Patients who experience a thunderclap headache should get emergency medical care. Doctors may do a number of tests to try to determine the headache's cause, including a lumbar puncture, MRI, CT scan, or MRA. The treatment depends largely on the underlying cause. If the headache's cause isn't diagnosed in the emergency room, patients might be referred to a neurologist who can run further tests. Prior to this appointment, patients should list their medical history, medications, symptoms, and questions they have.
Get to know the serious causes of thunderclap headaches now.
Cerebrospinal Fluid Leak

A thunderclap headache can be brought on by a cerebrospinal fluid leak. In these cases, the leak usually occurs because the covering surrounding one of the spine's nerve roots was torn. Cerebrospinal fluid is responsible for protecting and cushioning the spinal cord and brain. Holding the fluid in place is the meninges, a covering that resembles a sac. The thickest outside layer of this covering is the dura. In ordinary circumstances, an individual's brain floats in their cerebrospinal fluid. However, a leak occurs when there is a tear or hole in the dura, which makes the fluid leak out. The lowering volume of cerebrospinal fluid makes the brain sag in the skull rather than floating. This leads to headaches that become worse when the person is standing or sitting upright. Sometimes a cerebrospinal fluid leak occurs following medical procedures like spinal surgery, steroid epidural injections, or lumbar punctures. Sometimes, though, the cause of the leak isn't easily identified.
Uncover more causes of thunderclap headaches now.
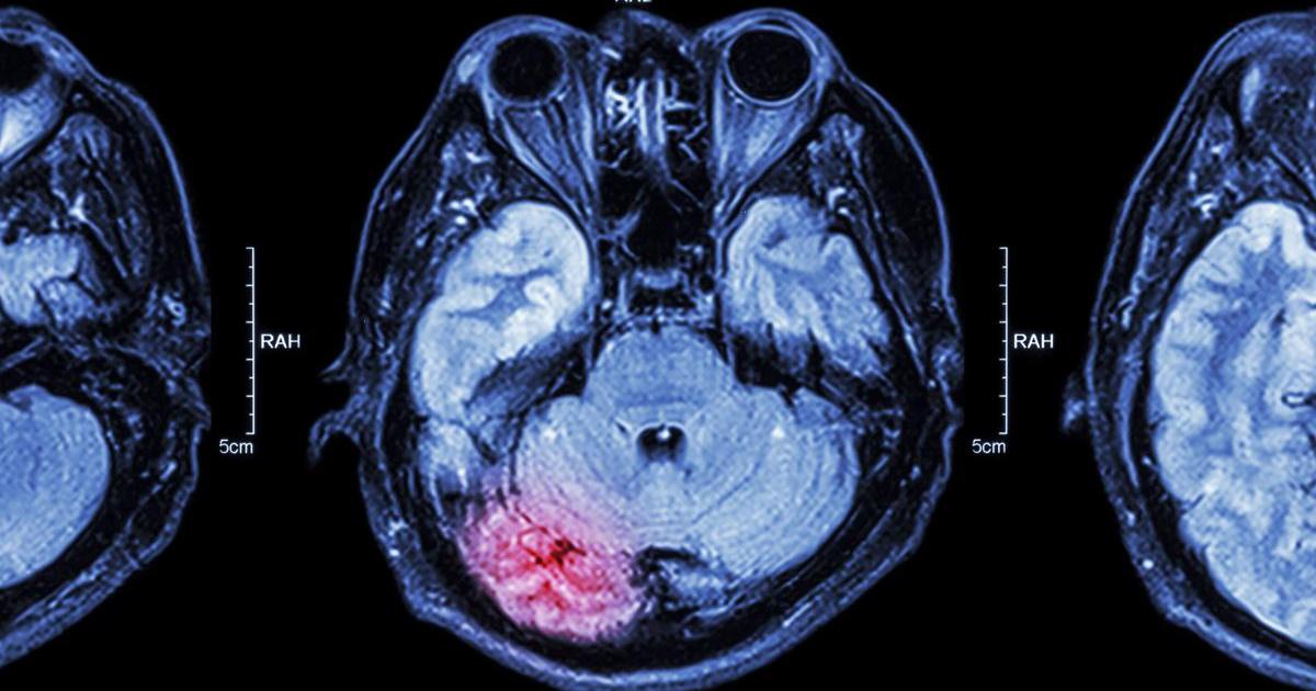
Subarachnoid Hemorrhage

A subarachnoid hemorrhage can lead to thunderclap headaches. This condition is a kind of life-threatening stroke that occurs when there's bleeding in the area around the brain. There are multiple possible causes of subarachnoid hemorrhages including head injuries, ruptured aneurysms, or a brain arteriovenous malformation. Arteriovenous malformations are knots or tangles of abnormal blood vessels responsible for connecting the brain's veins and arteries. One-third of patients who experience a subarachnoid hemorrhage survive and recovery well, another third survive but have a permanent disability, and the last third pass away. These types of strokes must be treated as soon as possible to stop the bleeding and restore the normal flow of blood in the brain. Like a cerebrospinal fluid leak, the thunderclap headache is related to cerebrospinal fluid. When there's bleeding into the area around the brain, the brain's lining becomes irritated. There's also increased pressure against the brain as well as damage to the brain cells.
Continue reading to reveal more conditions that can cause thunderclap headaches now.
Encephalitis

Encephalitis refers to inflammation in the brain. While there are multiple possible causes, it's most commonly caused by a viral infection. Oftentimes, patients only experience mild flu-like symptoms until neurological problems or thunderclap headaches manifest. Encephalitis can cause patients to have confused thoughts, seizures, issues with motor function, or problems with their senses. It's rare for encephalitis to be life-threatening, but it's also important to diagnose and treat the condition as soon as possible. There's no way to tell exactly how the inflammation will affect each patient. A thunderclap headache indicates encephalitis is having severe effects on the brain, possibly including life-threatening complications. Other symptoms of severe encephalitis include agitation, hallucinations, paralysis in certain parts of the body and face, loss of sensation in certain parts of the body, muscle weakness, trouble hearing or speaking, and total loss of consciousness. Young children and infants may have bulging in their skull's soft spots, stiffness, nausea, and vomiting.
Get more details on what can result in thunderclap headaches now.
Blood Clot In The Brain

A blood clot is a semi-solid mass of blood cells, and they can be caused by numerous different factors. Depending on the severity and location, these clots can be life-threatening. The clot might be stationary, which is called thrombosis, or it may loosen and travel throughout the circulatory system, which is called an embolism. When located in the brain, blood clots lead to serious neurological problems, though the exact symptoms vary depending on the part of the brain affected. Patients might have trouble with speech or their vision, have seizures, or feel generally weak throughout their bodies. Blood clots can block the flow of blood to parts of the brain, leading to stroke symptoms. The lack of oxygen might lead to a thunderclap headache. Patients exhibiting stroke symptoms may be evaluated with an emergency CT scan. Doctors might also do a carotid ultrasound to see whether there's a blood clot in the neck. Sometimes part of this clot may break off and move into the brain.
Read more about the causes of thunderclap headaches now.
Blood Vessel Rupture In The Brain

A blood vessel rupture in the brain might cause a thunderclap headache because of the sudden bleeding, irritation, and increased pressure. This condition is commonly called a brain hemorrhage. It's a kind of stroke that occurs when one of the brain's arteries bursts, causing the surrounding tissues to bleed, which can lead to brain cell death. About thirteen percent of strokes can be attributed to a brain hemorrhage. Though there's no way to completely predict who might suffer from a brain hemorrhage, certain individuals are at a higher risk. High blood pressure can cause the walls of blood vessels to weaken over time, and abnormalities in the blood vessels can also play a part. Amyloid angiopathy is a blood vessel abnormality that often occurs alongside high blood pressure and aging. Bleeding disorders, liver disease that causes increased bleeding, and head trauma can all increase an individual's chances of hemorrhage. An aneurysm also increases the risk. Aneurysms occur when the wall of a blood vessel weakens and then swells. If the aneurysm bursts, blood floods the brain and causes a stroke.