Warning Signs Of Peritoneal Cancer
For those who are suffering with peritoneal cancer, knowing which medications to use and how to find them is vital.
Peritoneal cancer attacks the peritoneum, a membrane that covers the area containing the liver, digestive and reproductive organs. It is very rare, affecting just six out of every one million individuals, with more women being diagnosed with the disease than men. Individuals over fifty years old are at greatest risk for developing peritoneal cancer, as are those who carry the BRCA1 and BRCA2 genes. Diagnosis is done through blood and imaging tests as well as biopsies and laparoscopies. Treatment generally includes surgery, radiation or chemotherapy, or a combination of the three. Many individuals are not diagnosed with peritoneal cancer until it has advanced beyond treatment stages.
Search online to find and compare the different treatment options.
Loss Of Appetite

A sudden and consistent loss of appetite is a warning sign of peritoneal cancer. Loss of appetite associated with peritoneal cancer is thought to be associated with a change in the metabolism caused by the cancerous tumor. The lack of desire for food may also be caused by the tumor obstructing processes and areas associated with digestion. An individual with peritoneal cancer may simply experience a lack of desire for food or the appetite loss may be accompanied by nausea, vomiting, diarrhea, and other digestion issues. The lack of desire for food is a very common symptom for not only peritoneal cancer but other cancers as well.
Keep reading to reveal another symptom of peritoneal cancer.
Unexplained Weight Loss Or Gain

One of the first warning signs individuals diagnosed with peritoneal cancer may notice is unexplained weight loss or gain. While it is normal for weight to fluctuate by a few pounds, individuals with peritoneal cancer often will lose five percent or more of their weight rapidly and without an apparent cause like diet or exercise. Weight loss can be associated with the lack of appetite caused by the cancer as well as other symptoms affecting the digestive and gastrointestinal systems, such as nausea and diarrhea. Weight gain is believed to be attributed to an overall lack of energy leading to reduced physical activity as well as a change in the bodies metabolism associated with the placement of the cancer.
Learn more about the warning signs of peritoneal cancer.
Abdominal Bloating Or Cramps

Individuals with peritoneal cancer may experience abdominal bloating or cramps, which can fluctuate between minor discomfort and severe pain. The bloating and cramping of the abdomen associated with peritoneal cancer is thought to be the result of an overabundance of fluid collected within the abdomen. Abdominal bloating or cramps may be accompanied by other digestive issues as well, including gas, heartburn, and indigestion. While cramps and bloating by themselves is not necessarily a cause for concern, individuals experiencing chronic bloating or cramps not relieved by over-the-counter medications, diet change or exercise, as accompanied by other ailments may need to consult a physician for additional tests.
Get the details on another warning sign of peritoneal cancer now.
Diarrhea Or Constipation

Diarrhea or constipation is a common warning sign associated with peritoneal and other cancers. Diarrhea and constipation may also be accompanied by the inability to control the bowels. Constipation can be caused by the lack of adequate nutrition, such as water and fiber, due to a decreased desire to eat. Diarrhea may be a direct result of the peritoneal cancer itself and its attack on the body and metabolism. Most individuals experience infrequent and short term bouts of diarrhea or constipation that can be resolved with a change in diet or fluid intake. Individuals who experience a change in bowels that last for longer than two days accompanied by abdominal pain and other digestive issues should speak to a doctor.
Continue for more information on the symptoms of peritoneal cancer now.
Shortness Of Breath

Patients with advanced peritoneal cancer may experience shortness of breath, since as the cancer advances, it causes a buildup of fluid in the abdomen called ascites. This buildup causes the abdomen to expand, increasing pressure on the lungs. Peritoneal cancer also lowers the number of red blood cells in the body, which help carry oxygen and other nutrients to the heart, brain, and lungs. The decrease in red blood cells causes the amount of oxygen transported to the lungs to be limited and a feeling of breathlessness. Shortness of breath may occur during periods of physical activity, such as walking or exercising, or during periods of rest.
Read more about the major symptoms of peritoneal cancer now.
Nausea And Vomiting

Individuals who have peritoneal cancer can experience nausea and vomiting as a symptom of their malignancy. Peritoneal cancer is a malignancy that occurs in the abdominal lining tissue covering the bladder, rectum, and uterus called the peritoneum. A malignant tumor that grows to be a large size in the peritoneum can cause the organs in the abdominal cavity to become compressed together. Should an affected individual overeat, they may experience nausea and vomiting as a result of too much pressure on the food in their stomach. Furthermore, a tumor growing in the peritoneum can expand to obstruct the bowel completely. This obstruction stops the leftover part of the digested food from moving past that point in the digestive tract. The waste buildup causes intense pain, severe nausea, vomiting large amounts, and may result in sepsis. The movement of food may be slowed in the gastrointestinal tract due to the compression of nerves responsible for moving food through the stomach and intestines. This slowed movement allows for bacteria to colonize in the stomach and or small intestine inappropriately, which causes an affected individual to experience nausea and vomiting.
Keep reading to discover more peritoneal cancer symptoms now.
Fatigue

Fatigue or whole-body tiredness is a symptom some individuals with peritoneal cancer experience as a result of their malignancy. The fatigue that occurs due to cancer is usually so severe that it disrupts the patient's ability to carry out everyday tasks and responsibilities. Several mechanisms contribute to the fatigue individuals with peritoneal cancer experience. Nutrients are absorbed from the foods consumed through the small intestine and are then packaged up and sent to the liver for further processing. The nutrients then re-enter circulation and are distributed to cells around the body so they can produce a form of usable cellular energy called ATP. Cancerous cells, while nonfunctional and nonbeneficial to the body are still cells that require nutrients to carry out their malicious processes. Cancer cells multiply quickly in numbers, which causes more cells to be competing with healthy cells for the nutrients absorbed from the diet. The cancerous cells leave little energy for the healthy cells that provide the functionality to body structures like muscles and the brain. Cancerous cells growing in the peritoneum can interrupt the normal hormonal processes in the body that control metabolism and secrete fatigue-inducing cytokines.
Uncover information on more key indicators of peritoneal cancer now.
Frequent Urination

Malignancy in an individual's peritoneum can cause them to experience frequent urination as a manifestation of their cancer. A healthy individual typically empties their bladder between four and eight times each day. When the urge to urinate suddenly appears, healthy individuals are usually able to keep urine from leaving their bladder until they can get to a restroom. Frequent urination is medically defined by an individual who urinates more than eight times every day. The bladder is a muscular structure in the lower abdomen and pelvic area responsible for housing the urine produced by the kidneys until it is ready to be expelled. When there is little to no urine in the bladder, it shrinks into a somewhat flattened shape and expands as more urine moves into it from the kidneys. A typical human bladder has the capacity to hold between sixteen and twenty-four ounces of urine. The actual urge to urinate occurs when urine has occupied around a quarter of the bladder's capacity. However, individuals who have a cancerous tumor growing in their peritoneum have less space in their abdominal cavity for urine to occupy. The result of this malfunction is a decrease in the amount of urine the bladder is able to hold all together. This mechanism causes the patient to have the urge to urinate when one-fourth of its reduced maximum capacity has been met.
Read more about the variety of symptoms linked to peritoneal cancer now.
Rectal Bleeding

Rectal bleeding may occur as a symptom in an individual affected by cancer of the peritoneum because of their malignancy. There are a few mechanisms that can contribute to the occurrence of this symptom in affected individuals. A growing malignant tumor in the peritoneum can compress the organs in the abdominal cavity and place an increased amount of pressure on the structures in the pelvic floor, including the rectum. Increased pressure on the rectum compounded by the natural mechanism of gravity can cause blood vessels in the rectum to become inflamed, swollen, and engorged with blood. These issues with the rectal blood vessels can result in the leakage of blood into the stool or around the anal region. Furthermore, a cancerous tumor growing in the peritoneum may be proximally close to the colon and rectum itself. The close proximity can result in tumor growth and infiltration of cancerous cells into the bowel or rectum. Cancerous tumors in the bowel or rectum cause damage to their specialized lining. This damage can cause tiny blood vessels to burst, and blood to leak into the stools.
Learn more about warning signs of peritoneal cancer now.
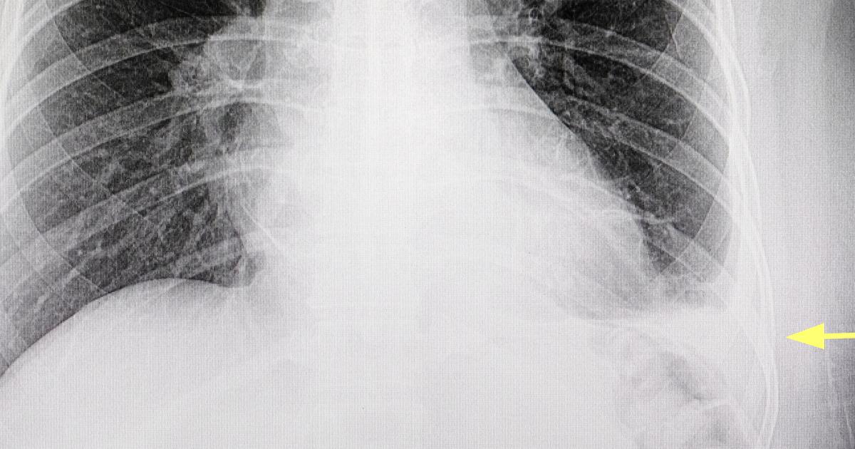
Pleural Effusion

Pleural effusion can affect an individual who has cancer of the peritoneum as a symptom of their malignancy. Pleural effusion occurs when excess fluid builds up in between the membranes that cover and protect an individual's lungs. A healthy individual has a small quantity of fluid that remains between the pleura to lubricate the area and help with breathing. However, individuals who have a malignant growth in their peritoneum can experience an accumulation of too much protein-rich fluid in the pleura. This symptom happens when the malignant cells infiltrate the lymphatic vessels and lymph nodes in the abdominal and chest regions. The lymph nodes and lymph vessels are responsible for absorbing fluid from tissues around the body when there is an excess. However, malignant cells can obstruct the process of fluid absorption and lymphatic circulation in certain affected parts of the body. When peritoneal cancer has this effect in the chest and abdominal region, the fluid begins to accumulate in nearby tissues like the pleura because it has no place to go. Pleural effusion in peritoneal cancer patients is especially indicative of a more advanced stage of malignancy.